什么是胶原蛋白?
What is collagen?
胶原蛋白是一类生物高分子蛋白的总称,它是动物结缔组织的主要成分之一,也是哺乳动物体内含量最多、分布最广的功能性蛋白,占总蛋白质含量的25%~30%。胶原蛋白因其机械性能、止血性能、促细胞生长、弱抗原性、生物降解性、胶原自缔 合性和其他重要的生物学特性而被广泛用于生物医学领域,另外胶原蛋白是胶原的水解产物,存在大量的甘氨酸、羟脯氨酸和羟基赖氨酸,这些氨基酸被誉为天然保湿因子,也被广泛用于化妆品工业。[1]
中国胶原蛋白市场快速发展,市场规模稳步提升。随着胶原蛋白制备技术的成熟,量产成为可能,成本有较大的下降空间,胶原蛋白产品的性价比得到提升,终端产品市场规模有望保持增长。2021年中国胶原蛋白市场规模为287亿元,预计未来五年保持较高的增长率,在2027胶原蛋白市场规模可达1738亿元。
胶原蛋白种类较多,常见类型为Ⅰ型、Ⅱ型、Ⅲ型、Ⅴ型和Ⅺ型。Ⅰ型和Ⅲ型胶原蛋白广泛应用于化妆品行业。Ⅰ型胶原粗大坚实,用于支撑皮肤硬度,使皮肤坚固;Ⅲ型胶原细小且具有良好的弹性,对皮肤的弹性、疤痕愈合有重要作用,其减少会导致皮肤衰老。
胶原蛋白可分为重组胶原蛋白和动物源胶原蛋白,目前市场上主流的胶原蛋白提取制备方法有两种:基因重组法和动物源提取法。
动物源性胶原蛋白从动物组织中提取,其原料是牛腱,猪皮等动物组织,无水溶性且存在病毒传染风险和排异反应。动物源提取法是指通过酸法、碱法、酶法等方式从动物肌腱、皮肤等组织中来提取胶原蛋白。
动物源提取法的过程可大致分为处理、溶出和纯化 3 个步骤。
处理:动物组织的去脂、切片、清洗、消毒和粉碎等;
溶出:添加蛋白酶、酸性介质进行反应;
纯化:盐析、透析纯化等工艺,在纯化工艺上结合胶原蛋白的性质填料选择则以阳离子为主,比如SP Chromastar FF等。

胶原蛋白的主要制备流程图
其中基因重组法根据不同的技术路径,胶原蛋白主要分为三类:
01、重组人胶原蛋白:由DNA重组技术制备的人胶原蛋白特定型别基因编码的全长氨基酸序列,且有三螺旋结构。
02、重组人源化胶原蛋白:含人胶原蛋白特定型别基因编码的全长或部分氨基酸序列片段,或是含人胶原蛋白功能片段的组合。
03、重组类胶原蛋白:经设计、修饰后的特定基因编码的氨基酸序列或其片段,或是这 类功能性氨基酸序列片段的组合。其基因编码序列或氨基酸序列与人胶原蛋白的基 因编码序列或氨基酸序列同源性低。
根据重组胶原蛋白研究策略,目前可分为3类[2]:

目前,多种重组表达系统被应用于胶原蛋白的重组表达,如大肠杆菌、酵母、动物细胞、转基因动物和转基因植物等,如表1[3]所示。重组类人胶原蛋白是利用DNA重组技术,通过重组表达得到类似人源特性的胶原蛋白重组胶原蛋白。大肠杆菌表达和酵母表达则是最常用的两种表达方式。通过大肠杆菌和酵母表达均可获得羟化的重组胶原蛋白,大肠杆菌表达产率低、价格高。酵母表达的产率随着表达技术的发展有所提升,逐渐成为重组胶原蛋白工业化的趋势。

而分离纯化工艺复杂是限制重组胶原蛋白工业化发展的主要原因之一。目前重组胶原蛋白的分离纯化方式有亲和层析法、盐析沉淀法、离子交换层析法、凝胶层析法等,纯化产率在68.6%~80.5%,纯化费用占总生产成本的20%~30%。下面让我们对不同来源的纯化工艺一探究竟吧:
实验案例1:
天然胶原蛋白纯化-MaXtar S
MaXtar S是一款强阳离子交换层析介质,利用不同分子在特定条件下电荷性质和多少的差异对其进行分离。该层析介质能很好的用于多种生物分子的分离纯化,比如:重组蛋白、抗体、核酸、病毒及类病毒颗粒、多糖等。相比于传统的强阳离子交换层析介质,MaXtar S表现出更优的性能:
(1)改良的MaXtar基架具有更强刚性,因此在较低的反压下能够实现更高工艺流速,提高工艺效率。
(2)通过升级配基偶联方式,提高层析介质的动态结合载量。
样品信息:牛皮提取液
平衡Buffer:20 mM HAc-NaAc, pH 4.6
洗脱Buffer:20 mM HAc-NaAc, 300 mM NaCl, pH 4.6


MaXtar S层析图谱 洗脱液 HPLC图谱

层析后蛋白的回收率可达到88.7%并且在HPLC测纯度上基本为胶原蛋白三组分。
实验案例2:
重组胶原蛋白纯化
2.1 亲和层析(粗纯)
Ni Chromstar Excel是一款亲和层析介质,将过渡金属离子Ni2+预先螯合在Chromstar基架上制成。该层析介质利用 Ni2+与蛋白质上某些氨基酸(主要是组氨酸)的侧链之间的相互作用,实现含有与不含有这些氨基酸、含有这些氨基酸数量多与少的蛋白质的分离纯化。
样品信息:大肠杆菌表达(His标签)破碎澄清液
平衡Buffer: 20 mM PB, 150 mM NaCl, pH 7.5
洗杂Buffer: 20 mM PB, 150 mM NaCl, 50mM 咪唑, pH 7.5
洗脱Buffer: 20 mM PB, 150 mM NaCl, 500mM 咪唑, pH 7.5

Ni Chromstar Excel柱层析图谱

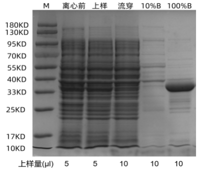
Ni Chromstar Excel柱层析 SDS-PAGE
通过Ni亲和层析可以去除99%以上杂蛋白并且富集目标胶原蛋白实验胶原蛋白的粗纯。
重组胶原蛋白纯化
2.2 离子交换层析/疏水层析(精纯)
MaXtar Phenyl HR是一款疏水相互作用层析介质,利用不同分子在特定条件下疏水性质和多少的差异对其进行分离。该系列层析介质能很好的用于多种生物分子的分离纯化,比如:重组蛋白、抗体、病毒疫苗等。
样品信息:Ni亲和层析后洗脱液
平衡Buffer: 20 mM PB, 1M (NH4)2SO4, pH 7.5
洗脱Buffer: 20 mM PB, pH 7.5

Phenyl层析图谱

Phenyl层析 SDS-PAGE

可以从层析图谱及检测图谱可以看出疏水作用可以有效纯化出目标蛋白并且纯度较高,回收率大于80%。
2.3 MaXtar Q
MaXtar Q 是一款强阴离子交换层析介质,利用不同分子在特定条件下电荷性质和多少的差异对其进行分离。该层析介质能很好的用于多种生物分子的分离纯化,比如:重组蛋白、抗体、核酸、病毒及类病毒颗粒、多糖等。
样品信息:亲和层析后洗脱液
平衡Buffer: 20 mM PB, pH 7.5
洗脱Buffer: 20 mM PB,100 mM NaCl, pH 7.5
洗脱Buffer: 20 mM PB,400 mM NaCl, pH 7.5

MaXtar Q 柱层析图谱

MaXtar Q 柱层析 SDS-PAGE

可以从层析图谱及检测图谱可以看出离子交换层析也可以有效纯化出目标蛋白并且纯度较高,回收率大于80%。
综合而言,
以下款产品则是胶原蛋白项目上的首选,
也已经被广泛应用于多个项目中做生产放大。
MaXtar S
MaXtar S表现出更优的性能:
(1) 改良的MaXtar基架具有更强刚性,因此在较低的反压下能够实现更高工艺流速,提高工艺效率。
(2) 通过升级配基偶联方式,提高层析介质的动态结合载量。
Ni Chromstar FF
因为其高选择性以及特异性亲和,被作为大部分带His标签亲和的主要选择。
Ni Chromstar Excel
另外相比Ni Chromstar FF 和Ni Chromstar HP,Ni Chromstar Excel 具有以下优势:
(1) 与 Ni2+有极强的结合力,能耐受100mM的EDTA,对缓冲液具有更好的兼容性。
(2) 具有更高的耐碱性,可耐受 1M NaOH,无需脱镍清洗,避免交叉污染,省时高效。
MaXtar Q
MaXtar Q 拥有极佳的放大生产性能:
(1) 高度交联的琼脂糖基架,具有优异的刚性,因此在低反压下能够实现高工艺流速,提高工艺效率。
(2) 通过化学修饰,具有出色的化学兼容性,耐受氢氧化钠等 CIP 清洗。
MaXtar Phenyl HR
MaXtar Phenyl HR拥有极佳的放大生产性能:
(1) 高度交联的琼脂糖基架,具有优异的刚性,因此在低反压下能够实现高工艺流速,提高工艺效率。
(2) 细粒径设计,提高分辨率。
(3) 亲水性基架,最大程度降低对配基疏水性作用发挥的影响。
(4) 通过化学修饰,具有出色的化学兼容性,耐受氢氧化钠等CIP 清洗。
综上,目前我们在不同种类的胶原蛋白纯化上积累了丰富的工艺开发经验。天辰平台作为一个整体解决方案供应商,在提供层析介质的同时,也提供相应的层析设备以及层析柱,超滤系统以及其他相关产品,也欢迎大家咨询我们其他产品线。同时我们技术支持团队可以协助大家做工艺开发与优化服务,以及协助大家项目转移等桥接服务。

参考文献
[1]傅容湛,范代娣,杨婉娟等.重组胶原蛋白的产业发展历程和生物医学应用前景展望[J].生物工程学报,2022,38(09):3228-3242.DOI:10.13345/j.cjb.220061.
[2]https://zhuanlan.zhihu.com/p/588438327
[3]查青青,聂姗姗,于文. 重组胶原蛋白研究进展及其应用[J]. 中国洗涤用品工业,2022(8):41-45. DOI:10.3969/j.issn.1672-2701.2022.08.005.
即刻咨询