胶原蛋白是一类生物高分子蛋白的总称,它是动物结缔组织的主要成分之一,也是哺乳动物体内含量最多、分布最广的功能性蛋白,占总蛋白质含量的25%~30%。胶原蛋白因其机械性能、止血性能、促细胞生长、弱抗原性、生物降解性、胶原自缔 合性和其他重要的生物学特性而被广泛用于生物医学领域,另外胶原蛋白是胶原的水解产物,存在大量的甘氨酸、羟脯氨酸和羟基赖氨酸,这些氨基酸被誉为天然保湿因子,也被广泛用于化妆品工业。
市场格局 胶原蛋白市场增长迅猛,重组胶原蛋白更是领跑。2021年中国胶原蛋白市场规模288亿元,历史4年CAGR 31%,其中重组胶原市场108亿,4年CAGR 64%。预计至2027年整体胶原蛋白规模达到1783亿,未来5年CAGR持续超30%,其中重组胶原预计将达到1,083亿元,预计未来5年CAGR为42.4%,重组胶原渗透率从2017年的15.9%增至2021年的37.7%,并预计将增至2027年的62.3%。

资料来源:
弗若斯特沙利文,东吴证券研究所
在重组胶原蛋白的表达过程中,存在酶促反应控制等问题,要实现高纯度、低抗原性与高表达量等指标的平衡颇具难度。正因如此,其大规模量产以及商业化推进的进程较为缓慢。目前国内能够大规模批量生产的企业主要为创尔生物、锦波生物、巨子生物和华熙生物等,均在关键技术上获得核心突破。行业内部分已实现产业化的重组胶原蛋白竞争格局如下:

资料来源:各公司公告及招股书,华安证券研究所
胶原蛋白制备工艺 目前,多种重组表达系统被应用于胶原蛋白的重组表达,如大肠杆菌、酵母、动物细胞、转基因动物和转基因植物等。重组类人胶原蛋白是利用DNA重组技术,通过重组表达得到类似人源特性的胶原蛋白重组胶原蛋白。大肠杆菌表达和酵母表达则是最常用的两种表达方式。 而分离纯化工艺复杂是限制重组胶原蛋白工业化发展的主要原因之一。目前重组胶原蛋白的分离纯化方式有亲和层析法、盐析沉淀法、离子交换层析法、凝胶层析法等,纯化产率在68.6%~80.5%,纯化费用占总生产成本的20%~30%。 下面让我们来看对不同项目的 重组胶原蛋白的纯化案例:
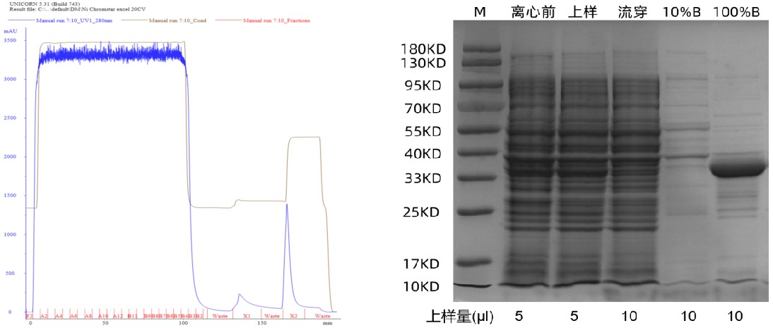
案例1:本案例选用Ni Chromstar? FF填料进行纯化


经过Ni亲和层析后,样品纯度得到比较大的提升,后续再配合离子或者疏水填料,可达到项目需求。针对NTA螯合方式的Ni填料,天辰平台提供Ni Chromstar? FF和Ni Chromstar? HR两款填料,分别对应90um和60um粒径。其中Ni Chromstar? HR具有高载量特性,载量>45mg/mL。针对TED螯合方式的Ni填料,天辰平台提供Ni Chromstar? Excel,相比Ni Chromstar? FF和Ni Chromstar? HR,Ni Chromstar? Excel 具有以下优势:
与Ni2+有极强的结合力,能耐 受100mM的EDTA,对缓冲液具有更好的兼容性。 具有较高的耐碱性,可耐受 0.5 M NaOH 浸泡48 h,无需脱镍清洗,避免交叉污染,省时高效。 耐受各类还原剂。
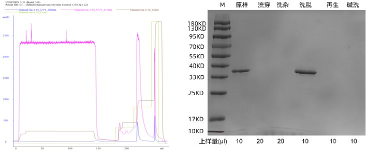
案例2:本案例使用亲和+疏水+离子三步法,工艺稳健,得到高纯度的胶原蛋白。
Ni 亲和层析
Phenyl 疏水层析

MaXtar? Q层析

三步层析法中,层析收率都在80%以上,工艺适合进一步放大。
此案例中的离子和疏水填料,用到了天辰平台MaXtar? 基架。这款基架拥有极佳的放大性能: 高度交联的琼脂糖基架,具有优异的刚性,因此在低反压下能够实现高工艺流速,提高工艺效率。 通过升级配基偶联方式,提高层析介质的动态结合载量。同时,通过化学修饰,具有出色的化学兼容性,耐受氢氧化钠等 CIP 清洗。
此外,对于MaXtar? Pheny来说,MaXtar?是亲水性基架,最大程度降低对配基疏水性作用发挥的影响 案例3:本案例是酵母分泌表达,分子量大小为25kD。发酵上清经硫酸铵沉淀后进行MaXtar? Q HP层析,再经Puredex? G25M经行脱盐,得到高纯度的样品。

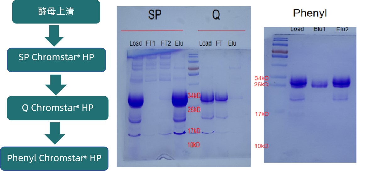
案例4:本案例是III型胶原蛋白,分子量为25kD,同样也是酵母分泌表达。酵母发酵上清澄清后,经SP Chromstar? HP + Q Chromstar? HP + Phenyl Chromstar? HP三步天辰平台填料,得到纯度较高的样品。

案例5:本案例只用一步天辰平台的SP Chromstar? HP即可得到高纯度样品。同样来自于酵母分泌表达,分子量为20kD。酵母上清收获并澄清后,直接用SP Chromstar? HP纯化,梯度洗脱后收集的样品纯度比较高。

综上,目前我们在不同种类的胶原蛋白纯化上积累了丰富的工艺开发经验。天辰平台作为一个整体解决方案供应商,在提供层析介质的同时,也提供相应的层析设备以及层析柱,超滤系统以及其他相关产品,也欢迎大家咨询我们其他产品线。同时我们技术支持团队可以协助大家做工艺开发与优化服务,以及协助大家项目转移等桥接服务。
即刻咨询